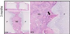
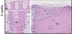
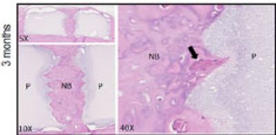
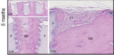
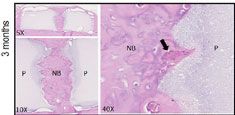
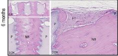
The combination of the osteoconductive and osteointegration properties of hydroxyapatite with interconnected pores promotes the colonization of the bone graft by blood vessels (Fig. 1).
This innovative combination is patented and helps free circulation of blood, tissue fluids and cells.
A pre-clinical study showed that the advanced porosity design of MyBone leads to 5 times faster osteointegration than conventional porosity designs [4].


Fig 1. Descriptive histology at 3 and 6 months after hydroxyapatite bone graft implantation on rat calvaria focused on the inner pore area. BV, blood vessels; FT, fibrous connective tissue and black arrows show giant cells; NB, newly formed bone; P, pellet.
PIMW B56
Rue des pôles, 1
4000 Liège
BCE BE 0640.975.802

Website developed by petitpoisson.be | Copyright © 2021-2025 Cerhum sa